Casa>Notícias
Acompanhamento de 2 anos | MemoSorb Ocluder Biodegradável ASD
-
2025-08-11
-
LEPU
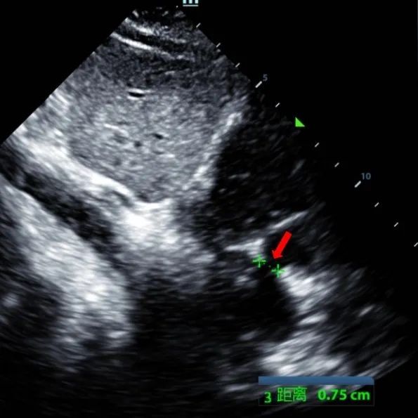
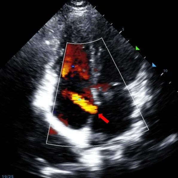
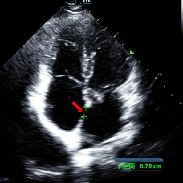
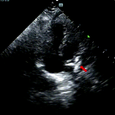
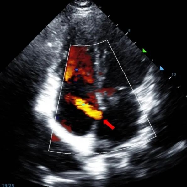
Um homem de 9 anos com ASD secundum (7,5-7,9mm) foi tratado usando um oclusor MemoSorb BDASD-I 12mm e sistema de entrega 12F. Não foram observadas complicações ou comorbidades pré-procedimento.
Serial echocardiographic follow-ups showed stable device position and favorable cardiac remodeling. Gradual degradation confirmed the occluder's long-term safety and efficacy.
Contact us>>Marketing@lepu-medical.com
Visit lepumedical website for more >>En.lepumedical.com




