Casa>Notícias
Case Sharing | CLI Oclusão Crônica Tratada com ThorCrack IVL
-
2025-06-06
-
LEPU
Caso Clínico Spotlight: CLI Oclusão Crônica Tratada com ThorCrack IVL
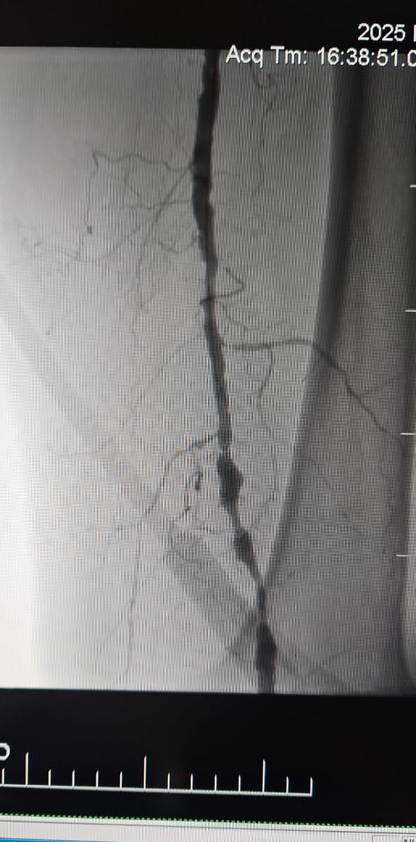
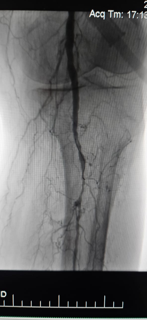
Temos o prazer de compartilhar um caso de sucesso de um hospital em Batumi, Geórgia, onde uma paciente de 78 anos com Isquemia Crítica do Membro (CLI) causada por oclusão total crônica da artéria do membro inferior apresentou notável melhora clínica após o tratamento com o Sistema de Dilatação de Balões Periféricos ThorCrack IVL.
Sobre ThorCrack IVL Periférico Cateter dilatação balão
O Cateter de Dilatação Periférica de Balão ThorCrack IVL é projetado especificamente para preparação de lesões e dilatação por balão de estenoses calcificadas (≥ 50%) em: artéria ilíaca, artéria femoral, artéria iliofemoral, artéria poplítea, artéria renal, artérias infrapoplíteas (abaixo do joelho)
Especificações chaves:
Pulsos IVL máximos: 300
IVL pulsos para o ciclo: 30 (10 ciclos)
Diâmetros do balão (milímetro): 3.0 / 3.5 / 4.0 / 4.5 / 5.0 / 5.5 / 6.0 / 6.5 / 7.0
Comprimentos do balão (mm): 40 / 60
Compatible guidewire: 0.014"
Este caso ressalta o valor clínico da litotripsia intravascular (IVL) no tratamento de casos complexos de CLI com oclusão crônica de segmento longo-particularmente em pacientes com calcificação pesada, onde balões tradicionais ou dispositivos de aterectomia podem ter eficácia limitada.
Estamos orgulhosos de ver ThorCrack IVL capacitar médicos em todo o mundo para superar lesões calcificadas, restaurar a perfusão e melhorar os resultados dos pacientes na doença arterial periférica complexa.
Contact us>>Marketing@lepu-medical.com
Visit lepumedical website for more >>En.lepumedical.com



