Boas notícias! Balão Lepu Vesscrack IVL Permite o sucesso do tratamento calcificação coronária no Chile
-
2025-09-02
-
LEPU
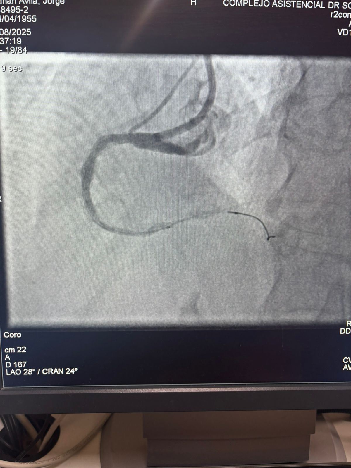
Estamos orgulhosos de compartilhar um caso notável do Hospital Sótero del Río, Chile, onde o Dr. Martín Valdebenito tratou com sucesso uma lesão fortemente calcificada na artéria coronária direita (primeira curva) usando nosso Sistema de Cateter de Dilatação Coronária Vesscrack.
O procedimento alcançou excelentes resultados, com a região calcificada efetivamente rachada e o fluxo do vaso restaurado. Isso marca outro marco na expansão do acesso global a soluções avançadas para calcificação coronariana complexa.
A comparação entre as imagens angiográficas pré-procedimento e pós-procedimento demonstra claramente o impacto clínico significativo de nossa tecnologia IVL.
Na Lepu Medical, continuamos comprometidos em capacitar médicos em todo o mundo com soluções inovadoras que transformam casos desafiadores em resultados bem-sucedidos.
Contact us>>Marketing@lepu-medical.com
Visit lepumedical website for more >>En.lepumedical.com




***This product is presented for academic exchange purpose only and is not intended for sale within European Union.***