Case Sharing | MemoSorb biodegradável PFO occluder aborda com sucesso o 33 milímetros ultra-longo túnel PFO encerramento
-
2024-12-27
-
LEPU
Case Sharing | MemoSorb biodegradable PFO occluder successfully tackles the 33mm ultra-long tunnel PFO closure
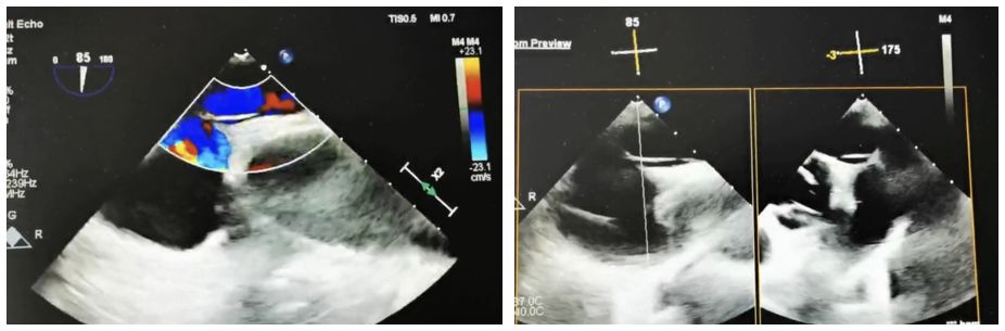
Case Information: A 60-year-old male patient was admitted to the neurology department after experiencing "left-sided limb weakness". The patient underwent a routine transesophageal echocardiogram (TEE), which revealed a patent foramen ovale (PFO) (congenital type, 2.4mm in width, 33mm in length, with moderate shunting). Right heart echocardiography and bubble tests confirmed a grade II shunt.
Estratégia Clínica: Escolhemos o oclusor simétrico BDPFO-I 2828 para garantir o fechamento ideal. Durante a fase da liberação, a imagem lactente de DSA foi usada posicionando, quando a orientação do ultrassom foi empregada primeiramente para assegurar a aplicação exata.
Resumo do Caso: Devido ao comprimento do túnel, os fios-guia do cateter convencional e o suporte da bainha de punção septal não foram eficazes. Especificamente, um fio-guia coronário combinado com bainha de punção septal foi usado neste caso e cruzou com sucesso o septo. Ao usar oclusores metálicos tradicionais para fechamentos longos do túnel PFO, o material rígido e a posição fixa da cintura muitas vezes impedem que o disco esquerdo se expanda totalmente. Isso pode fazer com que o disco seja puxado para dentro do túnel, levando a shunting residual. Em contraste, o oclusor biodegradável, com sua forte conformidade, permitiu que a cintura preenchesse completamente o túnel e alcançasse um fechamento efetivo.
Esse fechamento bem-sucedido valida ainda mais a eficácia dos oclusores biodegradáveis do FOP no tratamento de casos complexos do FOP.
Contact us>>Marketing@lepu-medical.com
Visit lepumedical website for more >>En.lepumedical.com



